Фото: Минздрав Новосибирской области / Telegram

Новосибирские врачи удалили подростку почку размером с пятилитровую бутылку

Происшествия

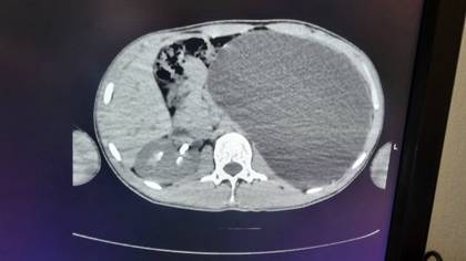
Новосибирские врачи удалили 17-летнему юноше почку размером с пятилитровую бутылку, которая занимала почти весь объем живота. По словам медиков, такое отклонение было «бомбой замедленного действия». Об этом в среду, 18 февраля, сообщили в пресс-службе регионального Министерства здравоохранения.

— У нашего пациента почка достигла размеров пятилитровой бутылки! Она занимала почти весь объем живота и давила на все соседние органы. Это была настоящая «бомба замедленного действия»: любая травма, случайный удар в живот — и мешок мог разорваться внутри, — сказали в ДГКБ № 1.

В ведомстве рассказали, что хирурги откачали всю скопившуюся жидкость через четыре небольших прокола и удалили орган. Врачи уточнили, что пациент уже идет на поправку, сказано на сайте Минздрава.

Ранее врачи Красногорской больницы спасли 46-летнюю пациентку, достав из ее мочевого пузыря косметический карандаш. Как сообщил заведующий урологическим отделением медицинского учреждения Петр Сысоев, женщине сделали УЗИ, после этого провели операцию, в ходе которой удалили карандаш с помощью эндоскопа.

amp-next-page separator