Главное
Истории
«Забить гвоздь, сварить суп»: чему учат на курсах для детей?

«Забить гвоздь, сварить суп»: чему учат на курсах для детей?

«170 лет Врубеля»: почему мир не понимал гения при жизни // Вечерняя Москва

«170 лет Врубеля»: почему мир не понимал гения при жизни // Вечерняя Москва

Сталин и чашка кофе: как создавалась Кольцевая линия метро

Сталин и чашка кофе: как создавалась Кольцевая линия метро

Подтяжка лица за 7 рублей: пластическая хирургия в СССР

Подтяжка лица за 7 рублей: пластическая хирургия в СССР

Синемания. Новое — это не забытое старое

Синемания. Новое — это не забытое старое

Победа вопреки всему: российская горнолыжница завоевала золото на Паралимпиаде // Вечерняя Москва

Победа вопреки всему: российская горнолыжница завоевала золото на Паралимпиаде // Вечерняя Москва

«Я научилась просто, мудро жить»: 60 лет со дня смерти Анны Ахматовой

«Я научилась просто, мудро жить»: 60 лет со дня смерти Анны Ахматовой

Школа зовет: почему мы ходим на «встречи выпускников»

Школа зовет: почему мы ходим на «встречи выпускников»

Карусель воспоминаний: взрослая и детская версия себя

Карусель воспоминаний: взрослая и детская версия себя

Режиссер, который не врал: чем запомнился Алексей Балабанов

Режиссер, который не врал: чем запомнился Алексей Балабанов

Новосибирские врачи удалили подростку почку размером с пятилитровую бутылку

Происшествия
Новосибирские врачи удалили подростку почку размером с пятилитровую бутылку
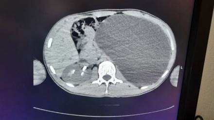
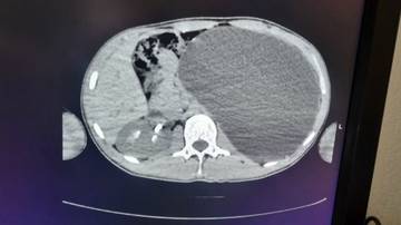
Фото: Минздрав Новосибирской области / Telegram

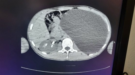
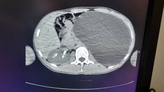
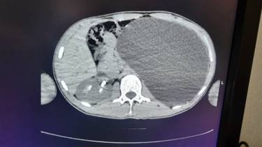
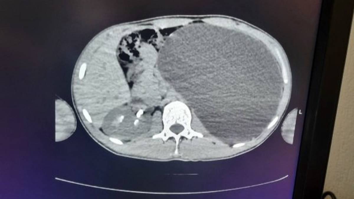
Новосибирские врачи удалили 17-летнему юноше почку размером с пятилитровую бутылку, которая занимала почти весь объем живота. По словам медиков, такое отклонение было «бомбой замедленного действия». Об этом в среду, 18 февраля, сообщили в пресс-службе регионального Министерства здравоохранения.

— У нашего пациента почка достигла размеров пятилитровой бутылки! Она занимала почти весь объем живота и давила на все соседние органы. Это была настоящая «бомба замедленного действия»: любая травма, случайный удар в живот — и мешок мог разорваться внутри, — сказали в ДГКБ № 1.

В ведомстве рассказали, что хирурги откачали всю скопившуюся жидкость через четыре небольших прокола и удалили орган. Врачи уточнили, что пациент уже идет на поправку, сказано на сайте Минздрава.

Ранее врачи Красногорской больницы спасли 46-летнюю пациентку, достав из ее мочевого пузыря косметический карандаш. Как сообщил заведующий урологическим отделением медицинского учреждения Петр Сысоев, женщине сделали УЗИ, после этого провели операцию, в ходе которой удалили карандаш с помощью эндоскопа.

vm.ru

Установите vm.ru

Установите это приложение на домашний экран для быстрого и удобного доступа, когда вы в пути.

  • 1) Нажмите на иконку поделиться Поделиться
  • 2) Нажмите “На экран «Домой»”

vm.ru

Установите vm.ru

Установите это приложение на домашний экран для быстрого и удобного доступа, когда вы в пути.