Главное

Московские врачи удалили подростку зуб, выросший в носу

Город
Московские врачи удалили подростку зуб, выросший в носу
Фото: Telegram / Московская медицина

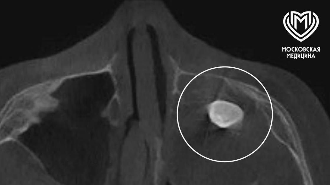
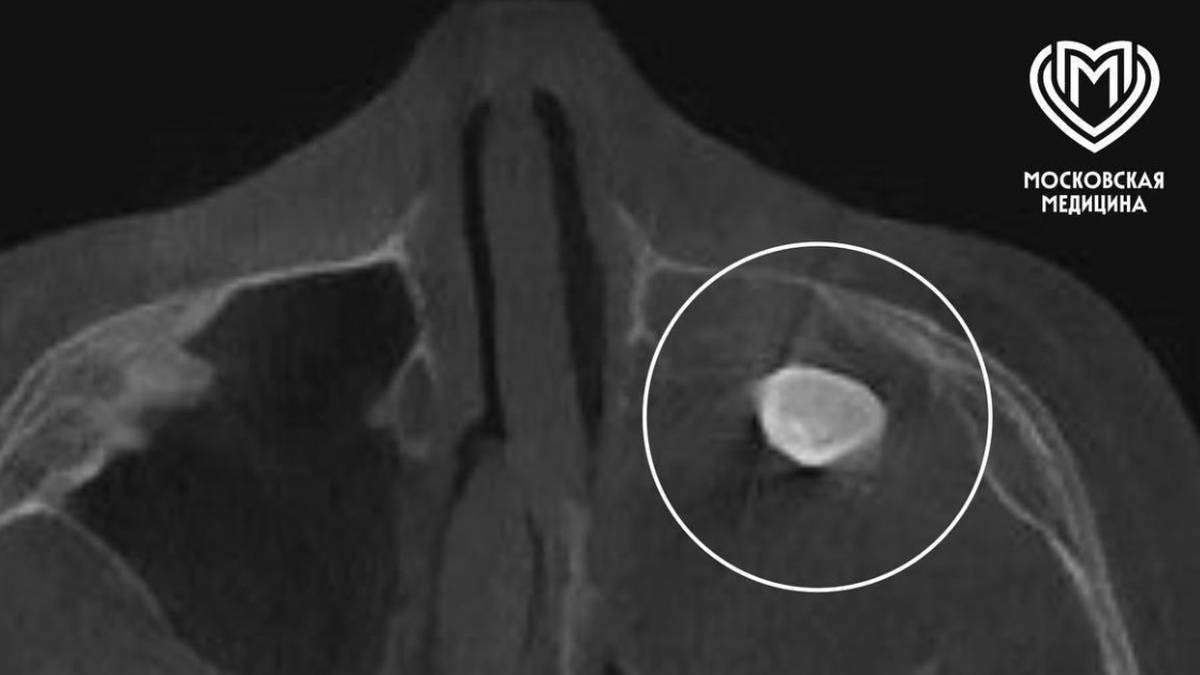
Хирурги Филатовской детской больницы Москвы удалили 15-летнему подростку зуб, который вырос в носу. Об этом во вторник, 17 марта, рассказали в столичном департаменте здравоохранения.

Мальчик обратился с жалобами на асимметрию лица и заложенность носа. Выяснилось, что в другой клинике у подростка в гайморовой пазухе нашли сформированный зуб, после чего предложили его удалить.

Несмотря на это, его родители решили обратиться за консультацией в Филатовскую детскую больницу. Там медики провели углубленное обследование и собрали консилиум.

— Мальчику нужно было провести операцию по Колдуэллу-Люку. Сделав разрез, врачи обнаружили новообразование, внутри которого и находился зуб, — добавили в Telegram-канале ведомства.

3 марта специалисты Московского областного центра охраны материнства и детства (МОЦОМД) также достали из кишечника четырехлетней девочки 30 магнитов.

Ранее врачи ГКБ имени Буянова спасли девушку, у которой дважды остановилось сердце. Пациентке стало плохо дома во время просмотра телевизора.

Истории
Владимир Жириновский: голос эпохи, который до сих пор цитируют

Владимир Жириновский: голос эпохи, который до сих пор цитируют

Гений, опередивший время: 135 лет со дня рождения Сергея Прокофьева

Гений, опередивший время: 135 лет со дня рождения Сергея Прокофьева

Как выглядит идеальный выходной у москвичей? // На связи Москва

Как выглядит идеальный выходной у москвичей? // На связи Москва

Маски, духи и ритуалы: что скрывает африканское искусство // Смотри, Москва!

Маски, духи и ритуалы: что скрывает африканское искусство // Смотри, Москва!

Искусство, которое лечит: выставка в столичном онкоцентре // Смотри Москва

Искусство, которое лечит: выставка в столичном онкоцентре // Смотри Москва

«Проснулись в другой стране»: апрельская инфляция в СССР

«Проснулись в другой стране»: апрельская инфляция в СССР

Перелетные птицы возвращаются в Москву

Перелетные птицы возвращаются в Москву

Сребреники Иуды и червонец Булгакова

Сребреники Иуды и червонец Булгакова

С бородой и пилочкой: почему мужчины уходят в мастера маникюра?

С бородой и пилочкой: почему мужчины уходят в мастера маникюра?

Интервью с главным редактором газеты «Вечерняя Москва» Александром Шарнаудом

Интервью с главным редактором газеты «Вечерняя Москва» Александром Шарнаудом

vm.ru

Установите vm.ru

Установите это приложение на домашний экран для быстрого и удобного доступа, когда вы в пути.

  • 1) Нажмите на иконку поделиться Поделиться
  • 2) Нажмите “На экран «Домой»”

vm.ru

Установите vm.ru

Установите это приложение на домашний экран для быстрого и удобного доступа, когда вы в пути.