Главное
Истории
Какие места в городе любят москвичи?

Какие места в городе любят москвичи?

«Забить гвоздь, сварить суп»: чему учат на курсах для детей?

«Забить гвоздь, сварить суп»: чему учат на курсах для детей?

«170 лет Врубеля»: почему мир не понимал гения при жизни // Вечерняя Москва

«170 лет Врубеля»: почему мир не понимал гения при жизни // Вечерняя Москва

Сталин и чашка кофе: как создавалась Кольцевая линия метро

Сталин и чашка кофе: как создавалась Кольцевая линия метро

Подтяжка лица за 7 рублей: пластическая хирургия в СССР

Подтяжка лица за 7 рублей: пластическая хирургия в СССР

Синемания. Новое — это не забытое старое

Синемания. Новое — это не забытое старое

Победа вопреки всему: российская горнолыжница завоевала золото на Паралимпиаде // Вечерняя Москва

Победа вопреки всему: российская горнолыжница завоевала золото на Паралимпиаде // Вечерняя Москва

«Я научилась просто, мудро жить»: 60 лет со дня смерти Анны Ахматовой

«Я научилась просто, мудро жить»: 60 лет со дня смерти Анны Ахматовой

Школа зовет: почему мы ходим на «встречи выпускников»

Школа зовет: почему мы ходим на «встречи выпускников»

Карусель воспоминаний: взрослая и детская версия себя

Карусель воспоминаний: взрослая и детская версия себя

Опухоль с зубами, волосами и костями: что такое тератома и насколько она опасна

Сюжет: 

Эксклюзивы ВМ
Общество
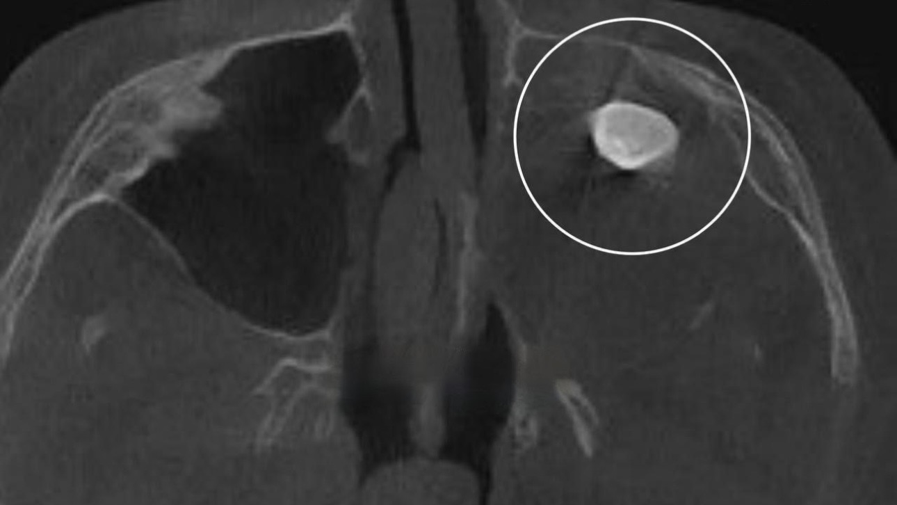
Что такое тератома
Фото: Московская медицина

15-летний подросток из Москвы обратился к врачам с жалобами на заложенность носа и асимметрию лица. При обследовании у него в гайморовой пазухе обнаружили зуб, ребенку поставили диагноз — тератома. Насколько эта болезнь опасна и по каким признакам ее можно распознать, выясняла «Вечерняя Москва».

В 2024 году в Подмосковье произошли похожие случаи. Тератому выявили у двух женщин. У одной из них — 34-летней жительницы Подольска — диагностировали кисту с волосами и зачатками костей черепа в правом яичнике. Второй случай зафиксировали у 17-летней девушки — ей удалили огромную опухоль-тератому весом более семи килограммов, которая на 80 процентов состояла из зачатков мозговой ткани, хрящей, костей, а также жировой, мышечной и незрелой эмбриональной ткани.

Как рассказал пластический хирург Игорь Короткий, тератома — это злокачественное новообразование, которое может появиться в области лица, зубного ряда и копчика.

— Причем в области копчика, у ягодичной складки, также возможно появление зубов или волос, — уточнил врач.

Лор-врач высшей категории, кандидат медицинских наук Владимир Зайцев предупредил, что тератома угрожает здоровью и жизни человека, так как способна провоцировать:

  • хронические синуситы;
  • выделение слизи из носа — она стекает по задней стенке глотки и вызывает постоянный насморк, вне зависимости от времени года и погодных условий;
  • мигренеподобные головные боли;
  • повышенное внутричерепное давление.

— К тому же наличие этого образования раздражает гайморову пазуху, так как образование внутри не зафиксировано и может двигаться, напоминая погремушку. Это приводит к постоянному раздражению слизистой и нарушению функций соустьев — выходов из гайморовой пазухи, — пояснил эксперт.

Как распознать тератому

Зайцев объяснил, что обнаружить тератому можно по характерным признакам, среди которых:

  • дискомфорт;
  • боль на уровне щеки;
  • раздражение кожи;
  • ощущение инородного тела внутри.

В случае появления странных симптомов хирург Короткий посоветовал обратиться к врачам — челюстно-лицевому хирургу и онкологу.

Также человек может лишиться носа из-за аутоиммунного васкулита, который провоцирует разрушение носовой перегородки. Так, москвичка в течение трех лет отковыривала корочки в носу, пока у нее не исчезла часть носовой перегородки. Что такое аутоиммунный васкулит, «Вечерняя Москва» узнала у эксперта.

vm.ru

Установите vm.ru

Установите это приложение на домашний экран для быстрого и удобного доступа, когда вы в пути.

  • 1) Нажмите на иконку поделиться Поделиться
  • 2) Нажмите “На экран «Домой»”

vm.ru

Установите vm.ru

Установите это приложение на домашний экран для быстрого и удобного доступа, когда вы в пути.